|
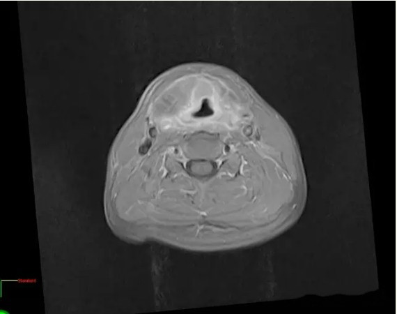
淄博质子中心-喉癌质子治疗 十五个月复查 肿瘤消失时间:2024-08-19
原发性喉癌指原发部位在喉部的肿瘤,以鳞状细胞癌最为常见。喉癌症状主要为声嘶、呼吸困难、咳嗽、吞咽困难、颈部淋巴结转移等。高危人群应当注意戒烟,适当饮酒,做好预防工作。早期发现,早期诊疗对于减轻喉癌的危害非常重要,一方面可提高患者术后生存率,另外有可能尽量保留喉的发音功能,减少术后并发症。
喉癌质子治疗病例:患者,男,60岁 现病史:患者5年前无明显诱因出现声音嘶哑,无咳嗽、咳痰、咳血,无进食梗阻感、发热,患者未予特殊处理。2月前声音嘶哑症状较前加重,于2009年11月13就诊于南方某医院,入院行“电子耳鼻喉内镜检查”示:会厌结节处新生物。排除手术禁忌症后于2009年11月18于全麻下行“激光喉镜显微镜下喉新生物活检术”,活检病理示:左喉室新生物、右声带新生物、会厌结节新生物:鳞状细胞癌Ⅱ级;右侧室带新生物:鳞状上皮增生。2009年11月23就诊于该院门诊行喉部强化CT示:左侧口咽、喉咽壁增厚,双侧声带、前联合、杓会厌皱襞明显增厚伴囊实样肿块,周围间隙欠清,包裹气管受压;该院建议患者行手术治疗,患者及家属拒绝,现为求进一步治疗,特来我院就诊,经各科专家会诊,行质子治疗。
随访15个月,未见复发征象!
根据统计结果,早、中期喉癌进行手术和放射治疗的5年生存率并无明显差异,也就表明,放射治疗同样可以达到手术切除的效果,而且可以保留声带的发生功能,质子治疗对于晚期喉癌能够很好的保护声带,最大限度的控制肿瘤生长,提高病人生存治疗; 质子治疗有非常优越的物理剂量分布。与传统放射治疗不同的是,质子治疗可以在肿瘤区域形成“定点爆破”一样的高放射剂量区,而同时使肿瘤周围正常组织不受或少受照射。
质子治疗有非常优越的物理剂量分布。与传统放射治疗不同的是,质子治疗可以在肿瘤区域形成“定点爆破”一样的高放射剂量区,而同时使肿瘤周围正常组织不受或少受照射,因此可以降低放疗或放化疗联合治疗造成的胃肠道、肝脏、肾脏以及脊髓的早、晚期副反应,同时可以提高肿瘤照射剂量来达到更高肿瘤控制率的目的。 山东 淄博万杰肿瘤医院质子治疗中心 2004年12月治疗第一例肿瘤患者,目前已治1800余例各类肿瘤患者,拥有360度旋转束治疗室,十年经验,大宗病例,疗效确切,世界公认的尖端技术。何必舍近求远,质子治疗就在身边! 质子治疗癌症主要优点包括:肿瘤邻近重要器官,病者亦可获得最好的疗效,而重要器官可受到保护;若肿瘤复发,患者还有再次接受质子治疗的机会;显著减少短期及长期副作用;提升癌症患者的生活质量;明显减少对发育中的少年儿童患者生长发育的影响;明显减少次发性癌症的风险 。
质子治疗适应症: 1、头颈部肿瘤:脑膜瘤、脑胶质瘤、颅咽管瘤、垂体肿瘤、颅底脊索瘤、颅底软骨肉瘤、前庭神经鞘膜瘤、鼻咽癌、鼻腔鼻窦恶性肿瘤、腮腺恶性肿瘤、口咽癌、口腔恶性肿瘤、腺样囊性癌、恶性黑色素瘤、软组织肉瘤、血管外皮瘤、复发性头颈部恶性肿瘤、髓母细胞瘤、室管膜瘤、面部纤维肉瘤、海绵状血管瘤、颅内生殖细胞瘤、血管内皮细胞瘤、神经纤维瘤、畸胎瘤、舌根癌、牙龈癌、骨巨细胞瘤、喉癌、淋巴瘤、 原始神经外胚层肿瘤PNET。 2、胸部肿瘤:肺癌、恶性纵膈肿瘤包括恶性胸腺瘤、恶性胸壁肿瘤、恶性胸膜间皮瘤、肺部转移肿瘤、纵膈淋巴结转移肿瘤、食道癌、贲门癌、乳腺癌、上皮样肉瘤、尤文氏肉瘤、非霍奇金淋巴瘤。 3、腹部 盆腔及其他部位肿瘤:肝癌、胆囊癌、胆管癌、肝外胆管癌、胰腺癌、前列腺癌、子宫内膜癌、子宫颈癌、脊髓肿瘤、骶尾部脊索瘤/软骨肉瘤、骨肿瘤、肾癌、卵巢癌、平滑肌肉瘤、软组织肉瘤、复发性腹盆腔肿瘤、原始神经外胚层肿瘤PNET。
截止到2015年淄博万杰肿瘤医院质子中心对治疗的1500例(以肿瘤Ⅰ、Ⅱ期为样本)肿瘤患者进行质子治疗效果统计,部分统计数据如下: 1、非小细胞肺癌一年局部控制率95 %,5年总生存率61.7 %; 2、肝癌一年局部控制率为94.1%,一年的总生存率为88.2%,五年总生存率65.3%; 3、胰头癌1年局部控制率45%,3年总生存率30%; 4、脑膜瘤1年局部控制率98%,3年局部控制率95%,五年局部控制率85%; 5、脊索瘤1年局部控制率97.8 %,3年总生存率88%,5年总生存率75.5 %,10年总生存率46%; 6、星型胶质细胞瘤, 5年总生存率85%;间变型星形细胞瘤, 5年总生存率51%。 另质子系统对复发鼻咽癌的治疗具有不可替代的优势。目前,放射治疗是鼻咽癌唯一的根治性手段,但约有10%的鼻咽癌患者,在完成根治性治疗后,可能出现局部即鼻咽部的肿瘤复发,再次光子放疗较不敏感,肿瘤控制的效果也更为局限,即使采用光子IMRT(调强放疗)再次放疗,超过60%的患者仍可能出现不同级别的鼻咽黏膜损伤,腮腺损伤,颞颌关节损伤。而质子特有在物理学优势,给复发鼻咽癌患者带来了新的治疗机会。 关爱天使-儿童肿瘤质子治疗救助报名流程如下: 1·咨询电话: 救助办公室:0533-4916222 救助办公室主任:蒋主任13805334429 2·报名方式: 本次报名方式仅限线上小程序,您可以关注“关爱天使质子治疗”小程序了解项目详情,进行项目报名或统一报名口(微信扫码):
3·救助流程: 3.1、专家组对患者进行线下会诊,符合减免救助标准的人员经专家组会诊同意后办理入院手续。 3.2、患者住院期间,医院按照相关规定提供合理、规范的诊疗服务。 3.3、减免费用为质子治疗费。 3.4、每月为符合救助标准的1-3名儿童肿瘤患者提供免费质子治疗(筛选条件以提交报名成功时间为准)。
|












